BLOGブログ
甲子園駅から徒歩5分、あいはら歯科医院です。
当院では、「銀歯を白くしたい」「詰め物の変色が気になる」という患者様に、透明感と強度を兼ね備えたセラミック「e-max(イーマックス)」を用いた治療を行っています。
本日は、実際に当院で行ったセラミック治療のビフォーアフターをご紹介します。
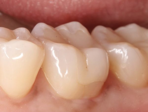
【症例写真】e-maxセラミックによる治療(術前・術後)
▼ 術前(Before) 
※古い金属の詰め物(銀歯)が入っており、見た目と二次カリエス(虫歯の再発)のリスクが懸念される状態でした。
▼ 術後(After) 

※e-maxインレー(詰め物)を装着。天然の歯と見分けがつかないほど自然な仕上がりになりました。
この症例のポイント:なぜe-maxなのか?
今回の治療で使用した「e-max(イーマックス)」は、従来のセラミックよりも高い強度を持つ二ケイ酸リチウムガラスを主成分としています。
- 圧倒的な美しさ:天然歯のような透明感があり、長期的に変色しません。
- 虫歯になりにくい:歯と化学的に強固に接着するため、隙間から虫歯菌が入り込むリスクを低減します。
- 金属アレルギーフリー:金属を一切使用しないため、お体に優しい素材です。
審美と機能を両立させる「専門医」の視点
セラミック治療は、単に「白い材料を入れる」だけではありません。噛み合わせのバランス(機能)と、口元の美しさ(審美)の両方を満たす必要があります。
私(院長)は、以下の2つの資格を有しています。
- 日本歯科審美学会 認定医(見た目の美しさのスペシャリスト)
- 日本補綴(ほてつ)歯科学会 専門医(噛み合わせ・被せ物のスペシャリスト)
「美しさ」と「機能性」の両面から、長持ちする質の高いセラミック治療を提供できるのが、あいはら歯科医院の強みです。
治療概要・リスク・費用について
- 治療内容:e-maxセラミックインレーによる修復
- 治療期間・回数:約2週間(2回〜3回)
- 費用:143,000円(税込) ※自由診療
- リスク・副作用:
- 強い力が加わると割れる可能性があります。
- 治療後に一時的に知覚過敏が生じることがあります。
甲子園でセラミック治療をご検討の方へ
あいはら歯科医院は、甲子園駅から徒歩5分の通いやすい立地にございます。 「自分の歯にはどのセラミックが合うのか?」「費用はどれくらいか?」など、まずはカウンセリングにて丁寧にご説明いたします。
確かな技術と知識を持つ専門医に、ぜひお任せください。