BLOGブログ
こんにちは、西宮市・甲子園駅近くのあいはら歯科医院院長の相原 一慶です。「銀歯を白くしたい」「前歯の形を整えたい」とセラミック治療を検討される際、何を基準に歯科医院を選んでいますか? セラミック治療は単に「白い歯を入れる」だけの治療ではありません。実は、選ぶ基準を間違えると、数年後に割れてしまったり、二次虫歯(治療した場所がまた虫歯になること)の原因になったりすることがあります。今回は、日本補綴歯科学会専門医・日本歯科審美学会認定医の視点から、後悔しないためのポイントを解説します。
1. 「見た目」だけでなく「噛み合わせ」を見ているか
審美歯科において、見た目が美しいのは当然です。しかし、それ以上に重要なのが「噛み合わせ(補綴)」です。どれだけ高価なセラミックを入れても、上下の歯が当たる力が適切に分散されていなければ、セラミックが欠けたり、土台となる自分の歯が割れたりしてしまいます。私は補綴(ほてつ)専門医として、マイクロ単位で噛み合わせを調整し、長持ちする治療を追求しています。
2. 素材の特性を正しく説明してくれるか
一口にセラミックと言っても、ジルコニア、e-max、メタルボンドなど種類は様々です。
- 強度が重要な奥歯に向いている素材
- 透明感が重要な前歯に向いている素材 患者様一人ひとりのお口の状態に合わせて、メリットとデメリットの両方を提示してくれる歯科医院を選ぶことが大切です。
3. 「適合(フィット感)」へのこだわり
歯とセラミックの間にわずかな隙間(段差)があると、そこから細菌が入り込み、中で虫歯が再発します。これを防ぐには、歯を削る際の精密な手技と、高精度な型取りが不可欠です。当院では、審美学会認定医としての審美眼に加え、精密な適合にこだわった処置を行い、美しさと健康の両立を目指しています。
西宮・甲子園エリアでセラミック治療をお考えの方へ
セラミック治療は、あなたの笑顔を輝かせるだけでなく、生涯にわたって自分の歯を残すための「投資」でもあります。「鳴尾や久寿川からも通いやすい甲子園駅近くで、専門的な治療を受けたい」という方は、ぜひ一度当院へご相談ください。相原一慶(日本補綴歯科学会専門医/ 日本歯科審美学会認定医
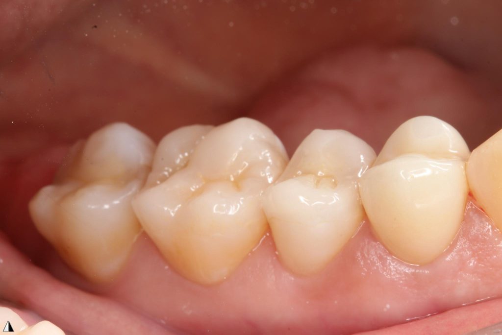
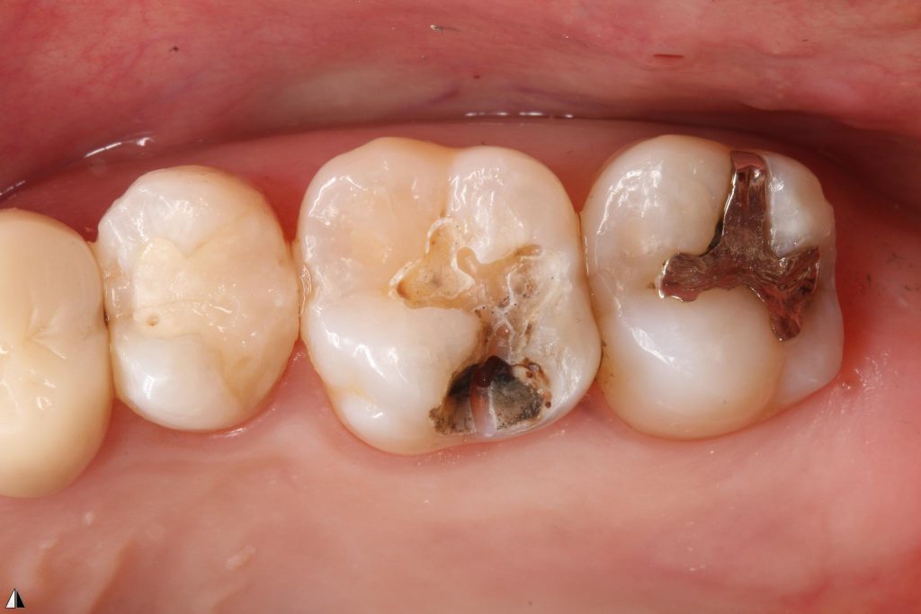
【症例紹介】奥歯(臼歯部)のセラミック修復(e-max)
■本症例の概要
- お悩み: 奥歯の銀歯が目立つのが気になる、二次虫歯の予防をしたい。
- 治療内容: 既存の詰め物(銀歯)を除去し、高精度な型取りを経て、セラミック(e-max)のインレー(またはクラウン)を装着。
- 治療期間: 約2週間(通院2回)
- 費用(自由診療): 一本 143000円(税込)
- メリット: 天然歯に近い硬さで周囲の歯を傷めにくく、金属アレルギーの心配がありません。また、適合性が高いため二次虫歯のリスクを低減できます。
■補綴専門医・審美学会認定医としての視点
本症例では、単に白くするだけでなく、臼歯部特有の「強い噛み合わせの力」に耐えられるよう、適切な厚みを確保した設計を行っています。補綴専門医の知見から、長期的に割れにくく、かつ対合歯(噛み合う相手の歯)を摩耗させない理想的な形態を付与しました。
セラミック治療(e-max)のリスク・副作用について
- セラミックは陶器に近い性質を持つため、極端に強い力がかかると、稀に欠けたり割れたりすることがあります(その際はナイトガードの併用をご提案することがあります)。
- 治療のために歯を削る必要があります。
- 元々の虫歯が深かった場合、治療後に一時的に冷たいものがしみたり、痛みが出たりすることがあります。
- 経年変化により、歯肉が退縮して被せ物の境目が見えるようになる場合があります。
- 適合状態を維持し、長持ちさせるためには、定期的なメインテナンス(検診・クリーニング)の受診が不可欠です。